
互联网医院
微信服务号
微信订阅号
视频号

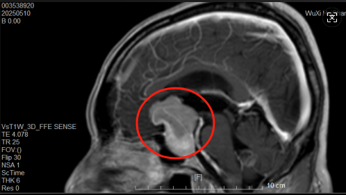
林先生(化名)长期受到垂体瘤困扰,视神经持续受到压迫,因此单眼失明、出现听力障碍,生活中遇到很多困难。
带着希望,他来到惠山区人民医院神经外科就诊。术前全面检查显示,林先生的肿瘤与视神经、颈内动脉等重要结构紧密粘连。这样的结果代表着,他的手术风险非常高,如果稍有不慎,就可能引发永久性失明或大出血等严重后果。


术前核磁共振图片
我院神经外科团队迎难而上,联合麻醉科、医学影像科等多学科专家,为患者量身定制手术方案。
手术时,神经外科团队采用了先进的神经内镜辅助技术,在仅仅毫米级的操作空间内,将肿瘤分块切除。同时,团队小心翼翼地松解被压迫变形的视神经。
整个团队始终将“保功能”作为首要目标,不放过任何一个细节,最终在完整切除肿瘤的同时,成功保全了近乎断裂的视神经。



神经外科主任陈磊团队为患者进行手术
术后,林先生的恢复情况令人欣喜。原本失明的眼睛逐渐有了光感。随着时间的推移,他的视力在慢慢恢复,生活质量得到显著提升。
患者家属激动不已:“是医生的坚持,一直鼓舞着我们,也是医生的精湛技术,让我的家人重新看到这个多彩的世界!”
专家提醒:垂体瘤早期症状往往不明显,比如视力下降、头痛、内分泌紊乱等。一旦出现类似症状,一定要及时就医。
未来,我院将继续以技术创新为驱动,为更多疑难重症患者点亮“生命之光”。
神经外科
神经外科创建于2012年,扬州大学硕士学位授权点。2016年学科被评为无锡市特色专科。
科室现有临床医师中50% 以上人员具有硕博士学位,其中教授/主任医师 2名,副教授/副主任医师5名,硕士生导师1名,省专业学会委员3名。
自成立神经外科以来,在科主任的领导下,经过进一步专业细化和调整,目前分为:颅脑创伤和神经肿瘤、脑出血、神经介入等专业组,并拥有NICU、杂交手术室一间(百级手术室),storz神经内镜、双荧光蔡司显微镜,大型平板数字减影血管造影(DSA),可以同时做造影、介入和开颅手术。
现共有1个病区,48张床位,并设有NICU床位6张,年门急诊1000余人次,年出院人数660余人次,年手术量超过300台次。
设有神经外科专家及偏头痛、脑积水等专病门诊。常规开展各种重症颅脑损伤手术视神经管减压术、高血压脑出血开放及微创手术、脑积水、脑动脉瘤开颅夹闭及介入栓塞手术、脑动静脉畸形介入栓塞及开颅手术切除术、各个部位脑肿瘤切除术、颈动脉内膜切除术、颈动脉/椎动脉/颅内动脉狭窄支架置入、烟雾病血运重建术、急性脑梗死大血管闭塞动脉取栓术等。尤其在重型颅脑损伤、脑出血的开放及微创手术、脑动脉瘤及血管畸形、急性脑梗死等脑血管介入治疗、脑肿瘤切除等方面均达省内、国内先进水平。
获省市级科研课题资助5项,获省医学新技术引进奖1项,江苏省科创大赛三等奖1项,军队医疗成果三等奖2项。近5年来,在SCI系列杂志发表论文10余篇,在中华及国家级期刊发表论文20余篇。
专家介绍

陈 磊
神经外科主任
副主任医师 医学硕士
硕士毕业于江苏大学,2014年、2015年先后前往德国基尔大学、比利时安特卫普大学访学,师从世界创伤主席Andrew. Maas教授。2016年在中国医科大学附属第一医院进修颈动脉内膜剥脱及脑血管搭桥。
擅长诊治脑肿瘤、脑出血、脑动脉瘤、脑血管畸形、烟雾病、颈动脉体瘤、颅脑外伤、缺血性脑血管病、脑积水、癫痫及枕大神经痛等神经系统常见病和疑难重症。
擅长颅内动脉瘤、脑肿瘤,颅内外血管搭桥,视神经管减压等复杂手术,精通颅脑外伤及脑出血治疗新技术如小骨窗脑出血手术、软通道治疗脑出血、控制性减压技术治疗重型特重型颅脑伤、单侧入路双额叶脑挫裂伤的治疗、双侧平衡减压治疗特重型颅脑伤等。
特色技术:在脑出血的手术治疗上具有独到之处,通过显微镜、神经内镜微创治疗脑出血,损伤小,恢复快。